Cas cliniques
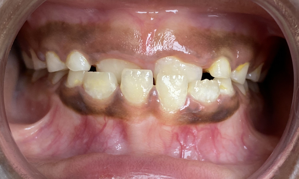
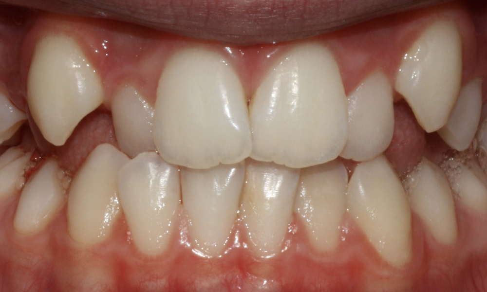
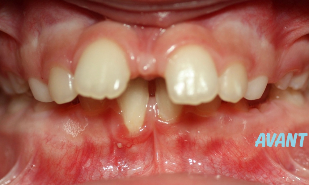
Cas clinique n°1 : Interception d'un inversé d’articulé
Avant - après d'un cas d'interception d'un inversé d’articulé sur une enfant âgée de 8 ans


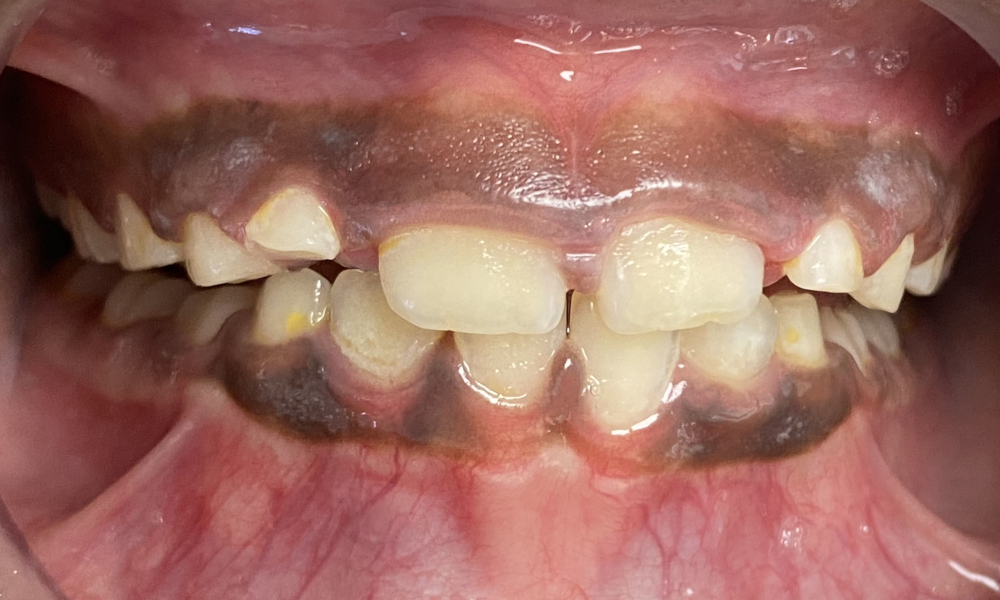
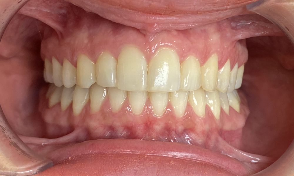
Cas clinique n°2
Avant - après d'un cas de traitement dentaire


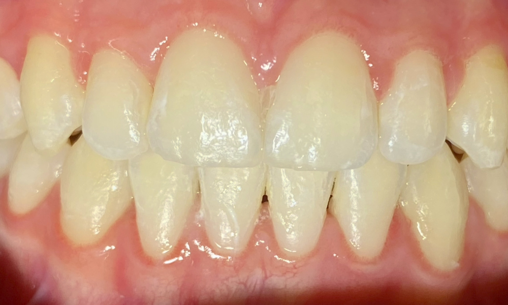
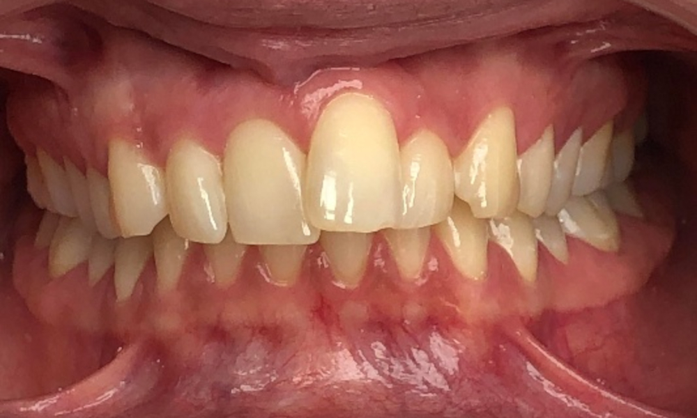
Cas clinique n°3
Résultat avant / après d’un traitement orthodontique multi-attaches
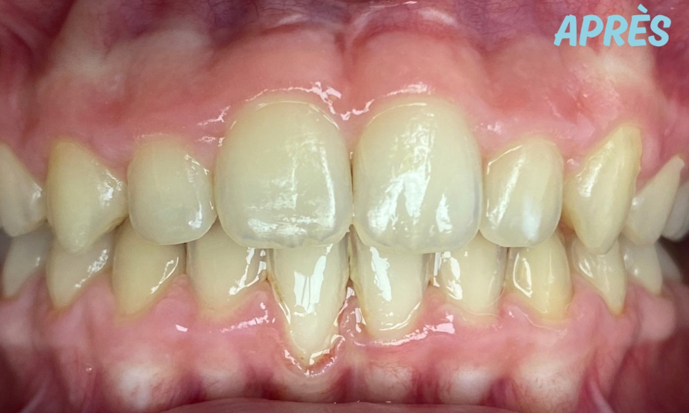
Cas clinique n°4
Avant après d'un cas d'encombrement traité par gouttières
